olivedentlcare.com

OLIVE
Dental Care
We care for your smile
24X7 Online Support
Prathima1130@gmail.com
Contact Us
+91 949 492-6876

Our speciality treatments

Single Sitting RCT is the standard treatment for removing an infection from a damaged or decayed tooth instead of removing it. Root canal treatment or RCT is the standard treatment for removing an infection from a damaged or decayed tooth instead of removing it.

The placement of implants and insertion of restorations are completed in the same day. Early loading: The restoration is connected to the implants at a second procedure but earlier than the conventional healing period of 3 to 6 months; time of loading should be considered in days/weeks.

Invisalign treatment is the process of wearing a series of clear, removable aligners that gradually straighten your teeth. No brackets and wires, and none of the restrictions that come with metal braces.

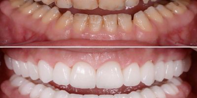
Full mouth rehabilitation should re-establish a state of functional as well as biological efficiency where teeth and their periodontal structures, the muscles of mastication, and the temporomandibular joint (TMJ) mechanisms all function together in synchronous harmony 

It’s a type of ceramic — or, in more specific terms, a zirconium oxide — that’s stronger than porcelain and some metal alloys, and it gets fewer sharp edges from the normal “wear and tear” that happens over time. Zirconia crowns tend to cause less stress and damage on opposing pieces than their porcelain counterparts.

Ceramic braces are similar to metal braces, but they use clear or tooth-colored brackets rather than gray or metallic silver brackets and wires. Many people opt for ceramic braces because they’re less noticeable on your teeth than metal braces.

Scaling and root planing are otherwise known as deep cleaning in dentistry. The procedure gets rid of tartar (hardened minerals) that can adhere to your teeth. You may need these treatments if you have periodontitis (advanced gum disease).

A dilation and curettage procedure, also called a D&C, is a surgical procedure in which the cervix (lower, narrow part of the uterus) is dilated (expanded) so that the uterine lining (endometrium) can be scraped with a curette (spoon-shaped instrument) to remove abnormal tissues.

Laser Gum Depigmentation vaporizes and removes a thin top layer of the gum tissue, destroying the cells that produce melanin. As new tissue is created during healing, it tends to be pink rather than brown. The treatment may require a local anesthetic injection and has a short recovery time with manageable discomfort.

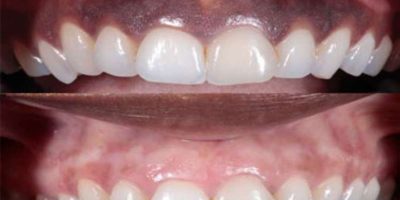
Teeth whitening is a procedure to lighten the color of your teeth and remove stains. You can have it done at olive Dental care.

If you need urgent care, simply call our 24 hour emergency hotline.

Your personal case manager will ensure that you receive the best possible care.

Call Now (toll free)

+91 9848190390

+91 9494926876

× How can I help you?